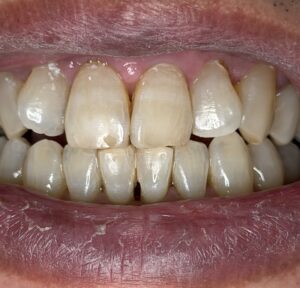
ポリリン酸の働き
ポリリン酸には、次のような働きがあります。
• 🦷 歯の表面の着色(ステイン)を分解
• 🦷 歯をコーティングして汚れの再付着を防ぐ
• 🦷 歯の表面をなめらかにする
• 🦷 歯周病予防・歯石沈着の抑制効果
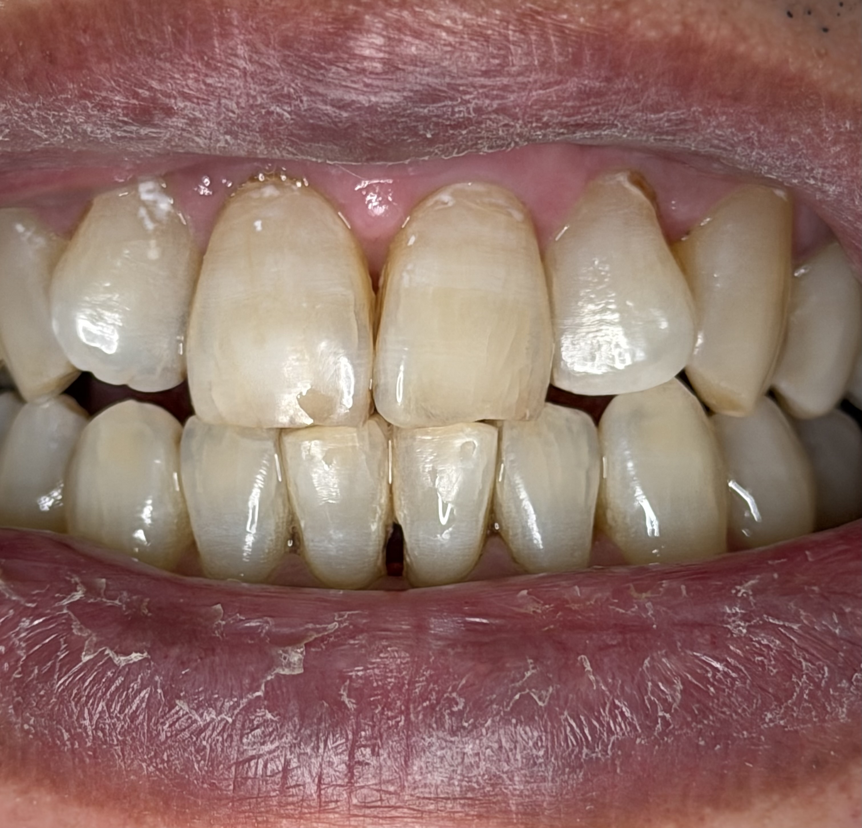
ポリリン酸の働き
ポリリン酸には、次のような働きがあります。
• 🦷 歯の表面の着色(ステイン)を分解
• 🦷 歯をコーティングして汚れの再付着を防ぐ
• 🦷 歯の表面をなめらかにする
• 🦷 歯周病予防・歯石沈着の抑制効果
いいね!して最新記事を
チェックしよう!
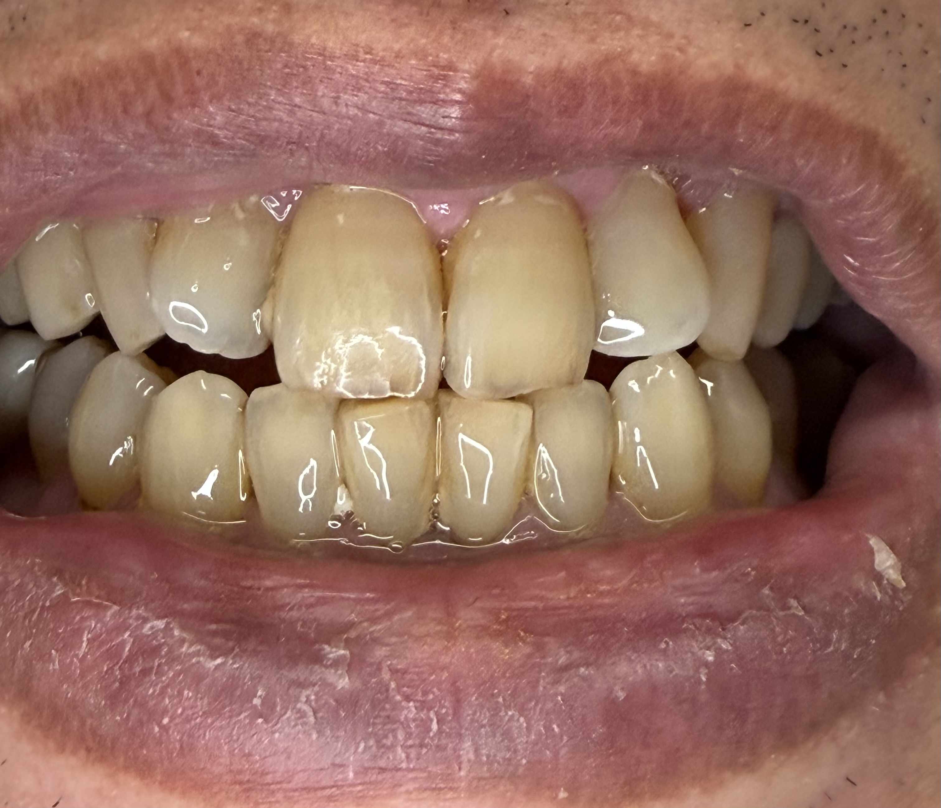
ポリリン酸の働き
ポリリン酸には、次のような働きがあります。
• 🦷 歯の表面の着色(ステイン)を分解
• 🦷 歯をコーティングして汚れの再付着を防ぐ
• 🦷 歯の表面をなめらかにする
• 🦷 歯周病予防・歯石沈着の抑制効果
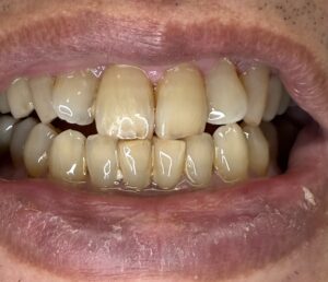
ポリリン酸の働き
ポリリン酸には、次のような働きがあります。
• 🦷 歯の表面の着色(ステイン)を分解
• 🦷 歯をコーティングして汚れの再付着を防ぐ
• 🦷 歯の表面をなめらかにする
• 🦷 歯周病予防・歯石沈着の抑制効果
いいね!して最新記事を
チェックしよう!